🦷 Retração Gengival: O Que É, Causas e Como Tratar de Forma Eficaz
Descubra o que é retração gengival, suas causas, sintomas e os melhores tratamentos para recuperar a saúde bucal e evitar a perda dentária.
SAÚDE
7/24/20252 min read
O que é retração gengival?
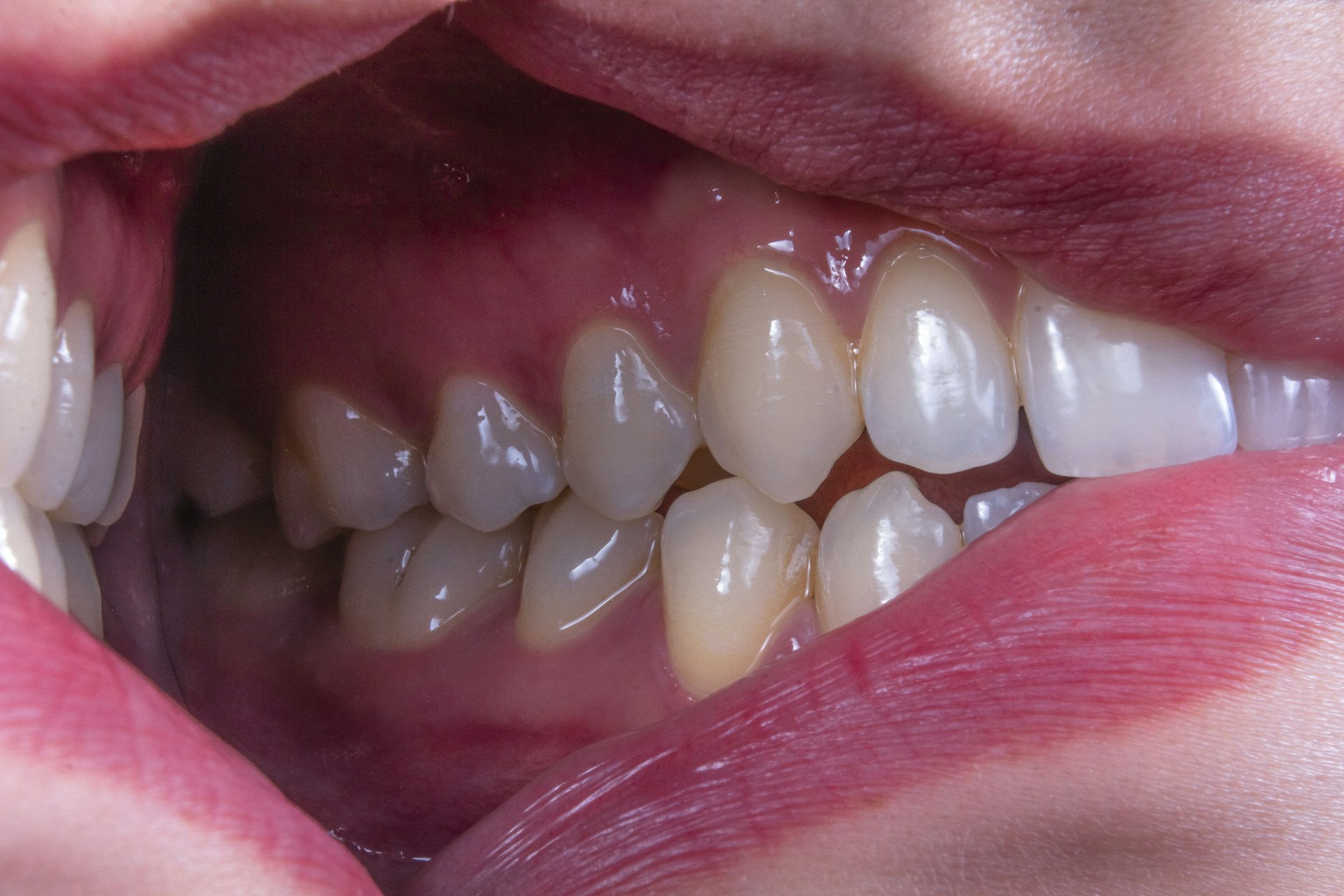
A retração gengival é uma condição em que a gengiva se afasta da superfície do dente, expondo a raiz. Esse recuo pode causar sensibilidade, dor, aumento do risco de cáries e até mesmo perda dentária, se não for tratado corretamente.
Ela é comum e silenciosa — muitas vezes o paciente só percebe quando a sensibilidade começa ou quando os dentes parecem “mais longos”.
Principais causas da retração gengival
1. Escovação agressiva
Forçar a escovação ou usar escovas de cerdas duras danifica a gengiva ao longo do tempo.
2. Doença periodontal
Gengivite e periodontite são inflamações gengivais que, se não tratadas, podem destruir o tecido gengival e ósseo.
3. Bruxismo e pressão nos dentes
Ranger os dentes ou ter problemas de oclusão (mordida desalinhada) causa sobrecarga nos tecidos da gengiva.
4. Tabagismo
Fumar compromete a circulação local, atrapalha a regeneração da gengiva e aumenta o risco de retração.
5. Fatores genéticos e idade
Pessoas com gengiva naturalmente fina ou com histórico familiar têm maior predisposição, assim como idosos.
Sintomas comuns da retração gengival
Sensibilidade ao calor, frio ou doces
Exposição da raiz do dente
Dentes com aparência mais longa
Sangramento ao escovar
Presença de cáries perto da gengiva
A retração gengival tem cura?
A gengiva não volta a crescer sozinha. Porém, com tratamento adequado, é possível parar a progressão e até recobrir a raiz exposta com técnicas modernas.
Opções de tratamento para retração gengival
✅ 1. Ajuste da higiene bucal
Uso de escova macia, técnica de escovação correta e pasta dessensibilizante.
✅ 2. Limpeza profunda (raspagem)
Remoção de tártaro e bactérias abaixo da linha gengival para controlar inflamações.
✅ 3. Tratamento do bruxismo
Uso de placa de bruxismo ou correção da mordida para aliviar a pressão nos dentes.
✅ 4. Cirurgia com enxerto gengival
Técnicas como enxerto de tecido conectivo ou flap coronário avançado ajudam a cobrir a raiz do dente e fortalecer a gengiva. Estudos mostram taxa de sucesso acima de 85% (PubMed).
Como prevenir a retração gengival
Escove com suavidade, duas vezes ao dia, com escova macia
Use fio dental diariamente
Faça visitas regulares ao dentista (a cada 6 meses)
Evite cigarro e alimentos muito duros ou abrasivos
Trate gengivites e cáries desde cedo
Estudos e fontes confiáveis
Verywell Health: Can Receding Gums Grow Back?
PubMed - Meta-análise sobre enxertos gengivais
PMC - Estudo sobre PRF e regeneração tecidual
Wikipedia - Gingival Recession
Conclusão
A retração gengival é um problema sério que pode comprometer não só a estética do sorriso, mas também a saúde bucal como um todo. O diagnóstico precoce e a escolha do tratamento adequado fazem toda a diferença para preservar seus dentes e sua gengiva com segurança.
Se você percebeu que seus dentes estão mais sensíveis ou aparentam estar maiores, procure um dentista o quanto antes. Com os cuidados certos, é possível recuperar a saúde gengival e evitar complicações futuras.
VITALITÉ
Um espaço para cuidar de você mesmo.
vitalitesant3@gmail.com
© 2025. All rights reserved.
